初診WEB予約 初診WEB予約

第一印象は口元で決まる! 第一印象は口元で決まる!

笑顔が輝く
理想の歯並びへ

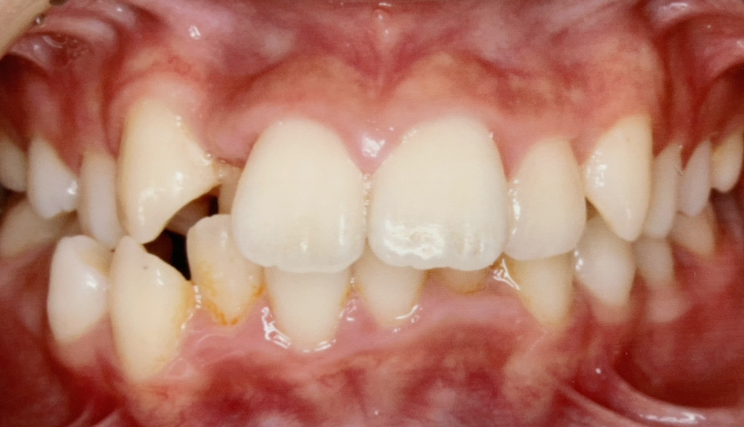
マウスピース矯正を使用した矯正治療症例

  • before
  • after

10ヶ月

治療費用

30万円

月額3,000円〜の分割も可能!

千賀デンタルクリニックの
マウスピース矯正なら、
手軽に始められてこんなに変わる!

マウスピース治療は、透明で取り外しが可能なマウスピースを段階的に交換しながら歯列を矯正していく治療法です。
リスク:虫歯・歯周病の進行、痛み、歯根吸収、噛み合わせの悪化、後戻りの可能性

まずは無料相談
お越しください

あなたに合った矯正治療を
矯正担当ドクターがご提案

「鶴見駅」より徒歩1分にある千賀デンタルクリニックでは、
患者様のここを治したい、というご希望に合わせて治療方針、料金をご提案させて頂きます。
まずは矯正無料カウンセリングを受けて頂き、最も効率よく、負担が少ない治療方針を立て、矯正治療開始となります。

このようなお悩みは
ありませんか?

  • 私の歯並びだと
    どの矯正方法が
    一番いいの?
  • 矯正治療に
    特化した先生

    診てほしい
  • なるべく通院回数を
    減らしたい

千賀デンタルクリニックの矯正治療なら

世界シェアNo.1や
日本製の
信頼できる
メーカーのみを使用

昨今では様々なマウスピース矯正が色々なメーカーから出てきており、マウスピース矯正の選択にお悩みの方も多いのではないでしょうか?
当院では、世界シェアNo.1のメーカーや、歴史があり日本製のメーカーのみを取り扱っておりますので、安心して矯正治療を受けていただけます。

※メーカーの選択にはご注意ください
選択するメーカーにより、適応症例や精度が異なりますので、信頼できる歯科医院で受けることをお勧めします。

歯列矯正の実績豊富な
矯正歯科学会の
認定医在籍

千賀デンタルクリニックでは、日本矯正歯科学会の認定医ドクターが多数在籍しております。様々な歯並びに対し、適切な矯正プランをご提案いたします。
マウスピース矯正が合わない場合にはワイヤー矯正のご案内も可能ですので、ご安心ください。

3ヶ月に1度の通院で
OK!
治療期間平均
3ヶ月〜12ヶ月

殆どの医院は月に1回の通院が普通。マウスピース矯正では一人ひとりのお口の状況に合わせてカスタムメイドで作るので、3ヶ月に1度の通院でOKです。
また、一般的な矯正は1年半〜2年かかります。マウスピース矯正なら3~12ヶ月で矯正が完了します(お口の状況やゴール設定で前後します)

その他の専門医多数在籍
虫歯・歯周病の
早期発見・治療が可能

矯正だけを専門とした医院とは異なり、歯周病、インプラント、虫歯、メンテナンスなどの総合的な治療が可能です。患者様の10年後20年後の口腔内をサポートするお口のトータルプロデュースをご提供いたします。

選べる治療方法

ワイヤー矯正、マウスピース矯正の中から
最善な方法で矯正治療を行うことができます。

マウスピース矯正と
ワイヤー矯正の違い

マウスピース矯正 ワイヤー矯正
見た目 透明で目立ちにくい 金属のワイヤーが見える
通院回数 基本的には3ヶ月に1回 毎月
取り外し 自分で取り外しは可能だが、
マウスピースを使用しないと歯が動かない
自分で取り外しは出来ない
痛み 痛みは少ない 最初にワイヤーが入ったとき、
調整時に歯が痛くなることがある
金属アレルギー アレルギーなし 可能性あり
治療の対象 システム上はすべての治療に対応しているが、
ワイヤー矯正の方が
メリットがある場合もある
すべての症例で治療可能
治療期間 症例によっては治療期間が
長くなることがある
治療期間が短い
マウスピース矯正
見た目 透明で目立ちにくい
通院回数 基本的には2ヶ月に1回
取り外し 自分で取り外しは可能だが、
マウスピースを使用しないと歯が動かない
痛み ほとんど痛みなし
金属アレルギー アレルギーなし
治療の対象 システム上は
全ての治療に対応しているが、
ワイヤー矯正のほうが
メリットがある場合もある。
治療期間 症例によっては治療期間が
長くなることがある
ワイヤー矯正
見た目 金属のワイヤーが見える
通院回数 毎月
取り外し 自分で取り外しは出来ない
痛み 最初にワイヤーが入ったとき、
調整時に歯が痛くなることがある
金属アレルギー 可能性あり
治療の対象 すべての症例で治療可能
治療期間 治療期間が短い

マウスピース矯正のここがすごい! マウスピース矯正のここがすごい!

  • 口腔内スキャナーでシュミレーション

    歯並びシュミレーション可能

    当院では、光学スキャナー「iTero」を導入し、 歯の移動をコンピュータでシミュレーションし、実際に治療前~完了まで患者様ご自身でご確認いただけます。

  • 透明で目立たない

    透明で目立たない

    透明な素材を利用しているので、装着している事が周りにほとんどわかりません。人前に出るお仕事をされている方・周りに気づかれたくない方などにお勧めです。

  • 調整・処置料が0円

    調整・処置料が0円

    前歯部マウスピース矯正の場合、処置料が無料です。通院の度にかかっていた費用がかからず安心。
    ※ワイヤー矯正、インビザライン矯正の場合は、5,500円かかります。

  • いざと言う時、取り外しが可能

    いざと言う時、取り外しが可能

    必要に応じてご自分で取り外しが可能です。食事や歯磨きの際には取り外すことができるので、虫歯や歯周病などのリスクを減らすことができます。

  • 来院回数が少ない

    来院回数が少ない

    殆どの医院は月に1回の通院が普通。マウスピース矯正では一人ひとりのお口の状況に合わせてカスタムメイドで作るので、3ヶ月に1度の通院でOKです。

  • 金属アレルギーの方にも適用

    金属アレルギーの方にも適用

    マウスピース矯正は、透明なプラスチック製で出来ているため金属アレルギーで今まで矯正治療ができなかった方にもお勧めの矯正治療法です。

  • 最大限痛みに配慮した治療

    矯正中の痛みが少ない

    厚さ0.5mmのマウスピースを5日~10日毎に交換していきます。1つのマウスピースで歯を動かす距離が少ないため、ワイヤー矯正に比べて痛みが少ないです。

治療開始までの流れ

土日祝日・夜19時まで診療

  1. 初診相談、無料で
    お口の中をチェック

    今の歯並びや、特に気になっているポイントを確認します。

    無料

  2. 検査結果&
    矯正治療のご説明

    歯科医師が、治療後にどんな歯並びになるかや費用を説明します。気になることがあれば何でも質問できます。

  3. マウスピース矯正を
    始めるか判断

    マウスピース矯正を始めるか判断頂き、お申込用紙に記入頂きます。一旦、お家に持ち帰って検討してももちろんOKです。

  4. クリニックか自宅で
    マウスピースを受取り矯正開始

    約3週間ほどであなただけのマウスピース装置を製作し、お渡しします。

マウスピース矯正の費用

初回相談 無料
矯正抜歯 ※必要な場合のみ 11,000円

スマイルモア矯正

精密検査 無料
矯正費用 187,000〜429,000円
※患者様の状態による
処置料 無料
スマイルモア矯正の治療例

マウスピース全顎矯正

精密検査 33,000円
矯正費用 825,000円
処置料 5,500円

デンタルローン料金表

通常価格 120回払い 60回払い
内容 費用 初回 2回目以降 初回 2回目以降
マウスピース
全顎矯正
825,000円 12,320円 12,100円 24,940円 21,100円
スクロールできます

※分割費用は目安です。ご利用可能な信販会社や手数料、分割回数はクリニックに より異なります。詳しくはクリニックにお問い合わせください。


通常価格 1回のお支払い金額
内容 費用 月々
スマイルモア矯正 187,000〜429,000円 3,000円〜
スクロールできます

POINT 月額3,000円〜、手軽に始められる

千賀デンタルクリニックのマウスピース矯正は月額3,000円から利用可能!
※デンタルローンを利用して17万円(税込18.7万円)を頭金なし・78回払いで支払う場合の分割支払金額です。

人前に出るご職業の方にオススメ!モデルやインフルエンサーの方も使っています 人前に出るご職業の方にオススメ!モデルやインフルエンサーの方も使っています

モデルやインフルエンサーの方も使っています モデルやインフルエンサーの方も使っています

まずは無料相談
お越しください

あなたに合った矯正治療を
矯正担当ドクターがご提案

「鶴見駅」より徒歩1分にある千賀デンタルクリニックでは、
患者様のここを治したい、というご希望に合わせて治療方針、料金などを考慮したプランをご提案させて頂きます。
まずは矯正無料カウンセリングを受けて頂き、最も効率よく、負担が少ない治療方針を立て、矯正治療開始となります。

ワイヤー矯正のここがすごい! ワイヤー矯正のここがすごい!

  • 矯正専門医が治療

    矯正担当医が治療

    千賀デンタルクリニックのワイヤー矯正は、歯列矯正の実績豊富な矯正担当医が担当します。どんな歯並びもお気軽にご相談ください。

  • 難しい症例にも対応

    難しい症例にも対応

    歯並びがガタガタ・出っ歯・すきっ歯・受け口で見た目が気になり、全力で笑えない方など、難しい症例も対応可能です。

  • 矯正装置の自己管理が不要

    矯正装置の自己管理が不要

    一度装置をつけると、矯正治療が完了するまでの間はずっとつけっぱなしになるため、自分で管理をしなくても日々歯は動いていきます。

  • 効率的に歯の移動が可能

    効率的に歯の移動が可能

    ワイヤー矯正では、効率的な歯の移動を実現したり、短期間での矯正治療を可能にしたりすることができます。

治療開始までの流れ

土日祝日・夜19時まで診療

  1. 初診相談、
    検査&矯正治療のご説明

    今の歯並びや、気になっているポイントを確認します。矯正治療のご説明をいたします。

    無料

  2. 精密検査
    (CT撮影、口腔内スキャン)

    口腔内スキャナーや、CTを用いて精密検査を行います。

  3. 診断結果と
    治療計画のご説明

    患者様に合ったプランをご説明いたします。

  4. 装置装着&
    治療開始、経過観察

    矯正装置装着。装着後、当院では1ヶ月に1回来院していただき、経過観察、処置を行っていきます。

ワイヤー矯正の費用

初回相談 無料
精密検査 33,000円
ワイヤー矯正 935,000円
処置料 5,500円
矯正抜歯 ※必要な場合のみ 11,000円

デンタルローン料金表

通常価格 120回払い 60回払い
内容 費用 初回 2回目以降 初回 2回目以降
ワイヤー矯正 935,000円 20,587円 10,200円 23,264円 17,900円

※利率によって異なります。

ワイヤー矯正なら
様々な歯並びに対応

ワイヤー矯正を使用した矯正治療症例

  • before
  • after

2

治療費用

93.5万円

月額10,200円〜の分割も可能!

ワイヤー矯正を使用した矯正治療症例

  • before
  • after

17ヶ月

治療費用

97.9万円

月額10,200円〜の分割も可能!

ワイヤー矯正は、歯にブラケットという装置をつけて、そこにワイヤーを通す方法で歯列を矯正する治療法です。
リスク:虫歯・歯周病の進行、痛み、歯根吸収、噛み合わせの悪化、後戻りの可能性

まずは無料相談
お越しください

あなたに合った矯正治療を
矯正担当ドクターがご提案

「鶴見駅」より徒歩1分にある千賀デンタルクリニックでは、
患者様のここを治したい、というご希望に合わせて治療方針、料金をご提案させて頂きます。
まずは矯正無料カウンセリングを受けて頂き、効率よく、負担が少ない治療方針を立て、矯正治療開始となります。

第一印象はから

歯並びが良くなると、
顔の印象も変わる

人の第一印象は、数秒で決まると言われています。
日本臨床矯正歯科医会が、10代~50代の男女計1,000人に「歯並びと矯正歯科治療」に関する意識調査を行った所、合計72.6%の人が、歯並びが第一印象を左右すると感じているという結果となりました。
このように日本人の多くは、歯並びが第一印象に与える影響の重要さを認識しています。
また、横顔のEラインを潜在的に美しいと感じる「黄金比」に整えることで、パッと見ただけで「綺麗だ」という印象を与えられるでしょう。

歯並びの矯正治療なら、
当院へお任せください

歯並びが良くなると、自分に自信が持てます。歯並びに自信を持てることで精神面での変化があり、見た目も気持ちも若々しくなる方が多い印象です。
また、審美的な意味合い以外でも、歯列矯正で歯並びを改善することで、悪い歯並びによるお口のトラブルを予防でき、多くの歯を健康な状態で残しやすくなります。
健康的な歯を保つためにも、歯列矯正は重要ですのでお悩みの方はまずは一度ご相談ください。

千賀デンタルクリニック
シァル鶴見医院 院長

山崎

よくある質問

  • 患者様の歯並びの状態にもよるので一概にどちらが良いというのは診断後になります。
    目立ちにくいマウスピース矯正は人気ではありますが、軽度の歯並びはマウスピース、中度以上の歯並びはワイヤーの方が適している場合が多いです。まずは一度実際に診察いただくことをお勧めします。

  • マウスピース矯正はそれぞれの歯に適切な力を加えるのでワイヤー矯正に比べて痛みが少ないと言われています。 ただし、特に初期はマウスピースを取替えた直後に痛みが出ることがあります。

  • 1日22時間は、使用していただきます。